Появление сыпи на коже может произойти при абсолютно разных заболеваниях, что порой требует от специалиста очень сложной дифференциальной диагностики.
Для правильного описания высыпаний на коже (экзантем) используют следующие критерии: первичный это или уже вторичный элемент; обязательно учитываются размеры очага в диаметре (мелкая сыпь – не более 2 мм, средняя – до 5 мм, крупная – более 5 мм); правильной формы образование или имеет неправильные контуры; однородность (мономорфная сыпь или полиморфная, когда все высыпания различные по природе и размеру); симметричная или асимметричная локализация; обилие элементов (не обильные или обильные высыпания); изменение сыпи с течением времени (момент ее появления, развития и угасания); также обязательно описывается фон кожных покровов (бледная или покрасневшая кожа).
![]() |
Розеола - пятнышко округлой формы с размерами, не превышающими 5 мм. При растягивании кожи или надавливании на нее оно исчезает (возникает вследствие местного сосудистого полнокровия). |
![]() | Макула - пятно с неправильными контурами и большего размера (мелкопятнистая – до 10 мм, крупнопятнистая – более 10 мм). |
![]() | Эритема - покрасневший участок кожи, возникающий при слиянии нескольких более мелких элементов (реже – как первичный процесс). |
![]() | Папула - (или узелок) – образование плотной консистенции, не имеющее полости, размеры которого варьируют. Очаг всегда выступает над кожными покровами и возникает при инфильтрации клеточных компонентов в поверхность дермы.Бугорок – относится к бесполостному образованию, которое имеет еще более плотную консистенцию, чем узелок, и развивается из-за формирования гранулем в глубоких слоях дермы. |
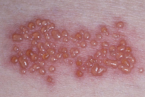
![]() | Везикула - (или пузырек) – мелкий очаг, имеющий полость и располагающийся поверхностно, внутри содержит экссудат. Причиной возникновения его становится дистрофия шиповатого слоя эпидермиса.Булла (или пузырь) – элемент крупных размеров (более 1 см в диаметре), содержащий серозное, серозно-геморрагическое или гнойное содержимое, возникающий, как первичный процесс или при слиянии мелких пузырьков. |
![]() | Пустула - (гнойничок) – очаг с гнойным компонентом, причиной которого становится нагноение везикулы, при пальпации болезненное. |
![]() | Геморрагии - процесс выхода кровяных элементов под кожные покровы, имеющий различные формы и размеры. |
![]() | Краснуха. Характерным признаком краснухи является мелкопятнистая сыпь, которая возникает в первые сутки болезни. Катаральные и общие интоксикационные явления выражены очень слабо или отсутствуют вообще. При пальпации можно обнаружить увеличенные и болезненные лимфоузлы в области затылка. |
![]() | Ветряная оспа. Для заболевания характерно появление папул небольшого размера (не более 2-3 мм), которые имеют светлое содержимое, способное мутнеть при присоединении инфекции. Места поражения вызывают сильный зуд. С течением времени узелки превращаются в пузырьки розового цвета, кожные покровы вокруг которых краснеют, а через пару дней они вскрываются с образованием корочек на своей поверхности. Весь этот процесс протекает на фоне температурной реакции и захватывает обширные участки кожи, а также слизистые рта и носа. |
![]() | Герпес - вирусное заболевание, которое способно поражать слизистые, кожные покровы, половые органы и глаза. Появлению сыпи предшествуют зуд и покраснение, а через 2-3 дня появляются мелкие пузырьки, содержащие светлую жидкость и способные сливаться между собой. Через несколько суток они вскрываются с образованием коричневых корочек. |
![]() | Скарлатина. В начале заболевания появляется клиника острого тонзиллита и увеличиваются местные лимфоузлы. Слизистая неба при скарлатине имеет картину «пылающего» зева. Щеки и слизистая губ становятся ярко-красными, а носогубный треугольник приобретает бледную окраску.На 1-2 сутки появляется мелкая сыпь на фоне гиперемированных кожных покровов (на лице и шее, а также верхней половине тела, далее она распространяется на боковые части тела и внутреннюю поверхность бедер). |
![]() | Иерсиниозы. Процесс всегда начинается с высоких цифр температуры и проявлений нейротоксикоза (при употреблении в пищу продуктов, не подвергшихся необходимой термической обработке). Для иерсиниоза характерны сильные мышечные и суставные боли. У пациента краснеет кожа лица и шеи (симптом «капюшона»), бледнеет носогубный треугольник и становится «малиновым» язык.На 3-4 сутки болезни появляется полиморфная сыпь на неизмененных кожных покровах со сгущением в естественных складках, на кистях и стопах, а также по боковой поверхности тела. Увеличиваются лимфатические узлы и селезенка с печенью. |
![]() | Брюшной тиф. Для заболевания характерен предшествующий контакт с больным человеком или бактерионосителем. Начало процесса постепенное с признаками диарейного синдрома и увеличением печени и селезенки.бляшку ярко-розового цвета, которая называется материнской. Иногда таких пятен может быть несколько, и примерно через семь дней после их возникновения у них появляются «детки» - маленькие розовые пятнышки с гладкой поверхностью, не соединяющиеся друг с другом, разбросанные по телу на животе и груди появляется на 8-9 сутки болезни. Страдает общее состояние больного. |
![]() | Рожа. Начало рожистого воспаления острое с выраженным синдромом интоксикации. Появлению первичных элементов предшествуют ощущения зуда и «стягивания» кожи.Характерна специфическая бляшка: эритема ярко-красного цвета с неровными контурами и краевым валиком, центр очага выглядит «запавшим». Увеличиваются местные лимфатические узлы. Все "тяжелые инфекции времен революции и мировых войн можешь выбросить, ежели не понадобится, но вдруг будет актуально)! |
![]() | Острая экзема. Возникает при отсутствии у больного каких-либо признаков синдрома интоксикации. Очаг поражения вызывает сильный зуд, но отсутствует жжение и болевые ощущения. Характерен полиморфизм процесса, а именно – появление на покрасневшем фоне множества быстро сливающихся пузырьков, участки эрозий, мокнутий и корочек. Экзема протекает с внезапным началом и имеет тенденцию к хроническому течению. Нет увеличения региональных лимфатических узлов. |
![]() | Крапивница. Это процесс аллергического происхождения, который могут вызвать самые разнообразные причины. Появление крапивницы внезапное, со множественными зудящими элементами розовато-лилового цвета, которые напоминают следы от ожогов крапивой. Очаги склонны к слиянию, что увеличивает размеры и распространенность высыпаний. |
![]() | Острые дерматиты. В анамнезе заболевания имеются указания на контактные аллергены (бытовые, профессиональные или косметические). Полностью отсутствует температурная реакция и все проявления синдрома интоксикации. Место контакта кожных покровов с аллергеном имеет четкие границы, возможно появление пузырьковых элементов. Лимфатические узлы не увеличены. |
![]() | Токсикодермия. Болезнь возникает при непереносимости определенных медикаментов или пищевых продуктов. Как правило, возникновение элементов сопровождается лихорадкой и общей интоксикацией. Высыпания могут быть разнообразными (петехии, папулы или везикулы). Характерен полиморфизм и множественность сыпи с симметричностью процесса. |
![]() | Флебиты. Заболевание является осложнением венозной недостаточности. Нередко повышение температуры. По ходу пораженного сосуда появляется болезненность, кожные покровы краснеют и отекают, при пальпации выражены узловатые уплотнения. |
Даже у опытного дерматовенеролога могут возникнуть трудности в диагностике разных процессов, имеющих сходную картину кожных высыпаний. На помощь врачу приходит тщательно собранный анамнез болезни с выяснением сроков появления элементов, как они менялись с течением времени, что их провоцировало, есть ли признаки общей интоксикации и т.д. При объективном осмотре врач описывает сыпь, учитывая все основные критерии (первичный это очаг или вторичный, локализация, симметричность, фон кожных покровов и другое). Взятие соскоба с поверхности элемента с последующим микроскопическим исследованием в большинстве случаев помогает в постановке правильного диагноза. Посев материала на питательные среды, взятого из полости элемента (например, серозный экссудат). Аллергическую природу процесса подтверждают путем проведения специальных аллергологических проб.
В первую очередь лечебные мероприятия должны быть направлены на причину заболевания. Без точного установления этиологии процесса любое лечение носит лишь симптоматический характер. Мероприятия, направленные на борьбу с первопричиной болезни, включают в себя, в зависимости от причины появления кожной сыпи, прием антипаразитарных, антибактериальных или противовирусных препаратов, исключение контакта с аллергеном, соблюдение лечебной диеты.
Для борьбы с высыпаниями, причиной которых стал стресс, назначаются успокаивающие средства - Восьмерка, 5 Эйч Ти Пи Пауэр, Комплекс с валерианой.
Восстановление естественной микрофлоры кишечника возможно при применении пробиотиков - Бифидофилус Флора Форс НСП, Локло, Хлорофилл жидкий, Сок Алоэ Вера НСП.
К средствам, улучшающим общее самочувствие и уменьшающим симптомы заболевания, относят: СИСТЕМНАЯ ЧИСТКА ОРГАНИЗМА С ПРИМЕНЕНИЕМ НАБОРОВ НСП - стартовый набор "Здоровье ЖКТ как основа", с последующим приемом специализированных наборов, как то - "Набор "Стоп аллергия"", "Здоровье с NSP круглый год". А так же, некоторых случаях, решающую роль играют противоглистные продукты:
С обязательным последующим применением витаминных комплексов и комплексов пробиотического действия:
Противовоспалительные и антигистаминные препараты:
Продукты с противозудным эффектом:
Обезболивающие препараты системного действия:
Местное лечение включает в себя смазывание элементов натуральными средствами от компании NSP:
Все высыпания на коже, даже те, которые не доставляют неприятных симптомов, могут быть проявлением серьезного заболевания. Это значит, что своевременное обращение к специалисту при появлении на коже сыпи любого вида поможет избежать всех возможных осложнений и неприятных последствий.
Ваша корзина пуста...
Введите запрос в поле поиска...Ничего не найдено...
У Вас, пока-что, нет заказов...
NSP ID - это уникальный номер партнёра Nature's Sunshine. Он даёт право покупать продукты по партнёрским ценам, с выгодой до 30% и получать кэшбэк с собственных покупок.
Вы можете автоматически получить свой NSP ID пройдя простую регистрацию...
Для отображения партнёрских цен, прикрепите свой NSP ID: